Our Office
Monday
9:00am - 8:00pm
Tuesday
9:00am - 7:00pm
Wednesday
9:00am - 1:00pm
Thursday
9:00am - 8:00pm
Friday
9:00am - 1:00pm
Saturday
Varies
Sunday
Closed




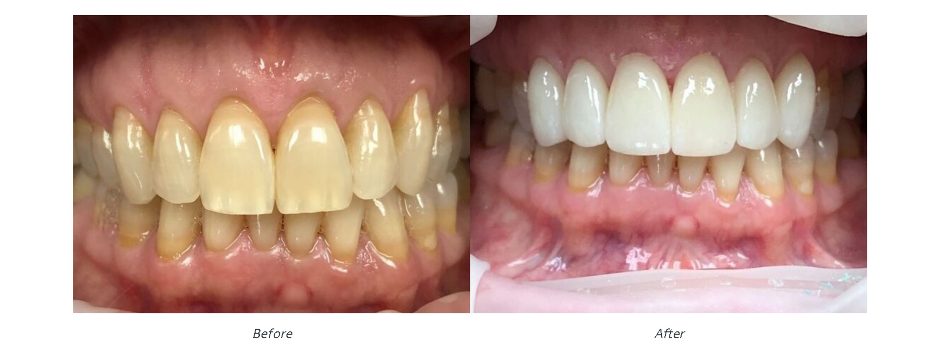
This Patient came to our East Brunswick Office because they were not happy with their Smile. After meeting with Dr. Lerner they had the confidence to smile with their six upper porcelain veneers.

Summerhill Dental Excellence is a state-of-the-art dentistry practice led by the renowned Dr. Roger Lerner. Our goal is to provide the highest quality dental care and personalized service to the community of East Brunswick and Central New Jersey. Our affiliations include:
We accept most insurance plans and offer a selection of payment options so that you access your care without additional stress or delay. Please request an appointment online or call (732) 651-1818 .
